Saúde Oral! Dicas do Dr. Pedro Coelho e antes e depois do branqueamento.
A saúde e o bem-estar são a primeira porta para uma vida em beleza.
Podemos usar muito do nosso tempo em roupas em acessórios... mas se não formos pessoas minimamente saudáveis está tudo comprometido.
Não adoro ir ao médico. Não tenho qualquer problema em recorrer à ajuda de um profissional - e agradeço MUITO a existência de pessoas que se dedicam a ajudar os outros - mas... prefiro ir em caso de necessidade. Existem ainda assim especialidades que requerem visitas de rotina para além da atenção que devemos ter a todos os sinais que o nosso corpo nos dá.
Quando era mais nova usei aparelho nos dentes e ia todos os meses à cadeira maravilha... mas confesso que por não ter cáries e por ter uns dentes fortes tenho-me esquivado de ir ao dentista ultimamente. A minha tia que é assistente dentária já me andava a dizer que devia ir limpar o tártaro... mas já lá tinha estado à 6 meses por isso não estava muito preocupada.
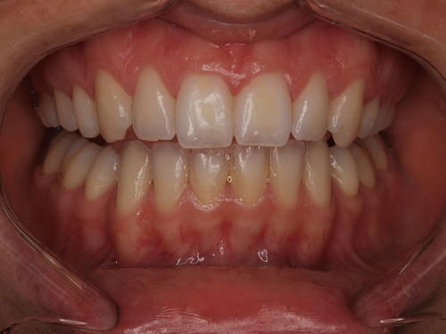
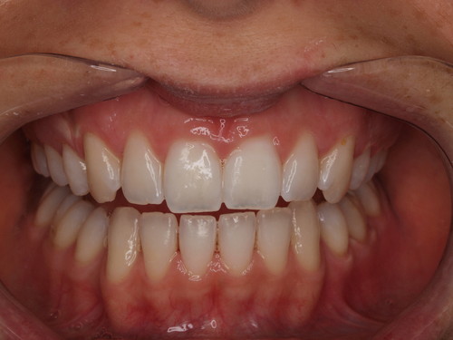
Até que fui parar ao consultório do Dr. Pedro Coelho e depois de uma limpeza de rotina foi-me feita a sugestão do branqueamento! E para mim fazia todo o sentido avançar com isso. Fiz uma medicação que me deixou os dentes bem amarelos e a quantidade de café que bebo por dia também não ajudavam à festa.
Passado uma semana voltei ao consultório e duas horas depois a diferença era notória! Para além do tratamento em gabinete trouxe um molde para continuar o tratamento em casa.
Partilho convosco as fotos do antes e depois ( não são super bonitas.. mas aqui o que importa é que entendam a diferença ) e também algumas perguntas que fiz ao Dr. Pedro Coelho e que penso que podem ser do vosso interesse.
Qual a frequência indicada para marcar consulta ( numa situação normal de rotina )?
Dr. Pedro Coelho : A frequência das consultas de rotina varia consoante a situação individual de cada pessoa. Eu costumo aconselhar os meus pacientes fumadores ou com maior propensão para ganhar tártaro ou cáries a visitar-nos a cada 6 meses, enquanto pessoas não fumadoras e com boa higiene oral podem vir apenas 1 vez por ano. Por outro lado, paciente que apresentem problemas gengivais devem visitar-nos de 4 em 4 meses.
Quais os cuidados básicos a ter em casa para uma correcta higiene oral?
Dr. Pedro Coelho : A higiene é o grande segredo para manter uma dentição saudável ou prolongar a longevidade de um tratamento ou reabilitação oral. Como mínimo, deve-se escovar os dentes 2 vezes por dia, de manhã e ao deitar (nunca se deve dormir com os dentes sujos!), utilizando uma técnica de escovagem correcta, que escove não só as superfícies dentárias, mas também as gengivas e o sulco gengival que faz a transição entre os dentes e as gengivas. No entanto, por melhor que se escove os dentes, não se consegue escovar os espaços interdentários, pelo que é imprescindível a higienização destas zonas utilizando o fio dentário, escovilhões ou jactos de água sob pressão.
Quais os melhores dentífricos? ( falo de características e não de marcas )
Dr. Pedro Coelho : A não ser que seja para tratamento de algum problema específico (ex: doença gengival ou sensibilidade dentária), o melhor dentífrico será aquele que na sua constituição contenha flúor e seja o menos abrasivo possível.
Caso não seja possível lavar os dentes no imediato existe algum alimento que ajude na limpeza? ( fala-se das maçãs por exemplo )
Dr. Pedro Coelho : Algumas frutas ou vegetais, como por exemplo, maçãs ou cenouras, podem ajudar a remover restos de comida dos dentes após uma refeição. Um boa dica, quando não conseguimos higienizar os dentes após comer, é mastigar uma pastilha elástica sem açúcar durante 5 a 10 minutos, pois ajuda a limpar remanescentes alimentares.
Quais as pessoas que podem fazer branqueamento ? Existem casos em que não é possível fazer?
Dr. Pedro Coelho : O branqueamento dentário pode ser realizado por qualquer pessoa em idade adulta que não apresente patologias activas que necessitem de tratamento prévio. Não existem outras contra-indicações e o único efeito secundário que pode existir, durante o tratamento e variável de pessoa para pessoa, se for utilizada uma técnica correcta e produtos seguros, é sensibilidade dentária, que desaparece após a finalização do tratamento.
Dicas para manter o efeito do tratamento?
Dr. Pedro Coelho : Para melhores resultados, no período de duração do branqueamento, não se devem ingerir alimentos sólidos ou líquidos que apresentem pigmentos que possam voltar a manchar os dentes (ex: café, vinho tinto, molhos, etc), nem se deve fumar. Existe tendência para ocorrer algum retrocesso do branqueamento com o tempo, pelo que deve ser realizada uma manutenção periódica do mesmo.
Quais os preços em média?
Dr . Pedro Coelho : Os preços são muito variáveis, mas em média diria que podem oscilar entre os 200€ e 500€.
Espero sinceramente que estas dicas vos possam ser úteis! ;)
Contactos Clínica Dr. Pedro Coelho :



